
Former NBA Player Jason Collins Reveals Diagnosis
"Anyone who knows me knows not to underestimate me on this," the basketball veteran said.
Former NBA player Jason Collins revealed that he is undergoing treatment and asking for privacy, according to a statement released by the NBA.
Jason, who made history in 2013 as the league's first openly gay active player, now revealed that his diagnosis has already altered nearly every aspect of his life.

Jason Collins #98 of the Brooklyn Nets looks on during a game in Los Angeles on February 23, 2014. | Source: Getty Images
What Led to the Diagnosis
Jason said he began experiencing strange symptoms last summer, including moments of disorientation and an inability to focus. "In August, we were supposed to go to the US Open… but when the car came to take us to the airport, I was nowhere near ready," he wrote.
Despite pushing through the early signs, he soon realized something was seriously wrong.
He was rushed into a CT scan at UCLA, where the scan ended unusually quickly. "Whatever the tech had seen… had to be bad," he wrote. His mental clarity disappeared, and within hours, he struggled with comprehension and short-term memory.
The Diagnosis
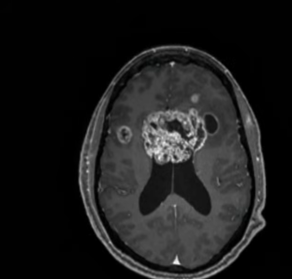
While Jason's family shared that Jason had a brain tumor in September, he now disclosed more details, that he had "one of the deadliest forms of brain cancer."
In a personal statement, Jason said he had been diagnosed with Stage 4 glioblastoma.
According to Jason, further tests confirmed a glioblastoma "multiforme," which he described as "a monster with tentacles spreading across the underside of my brain the width of a baseball."
A Dangerous, Aggressive Tumor
The biopsy revealed the tumor had a 30% growth factor, meaning it could have become fatal in "six weeks to three months" without urgent intervention.
Jason said doctors later told him that due to the tumor's placement — already in both hemispheres of his brain — it was considered a butterfly glioblastoma, making it impossible to resect fully.

An image of Jason Collins's cancer, from a video post dated December 11, 2025. | Source: YouTube/ESPN
He also said his cancer is a "wild type," comparing it to "the Hydra," adding, "That's the kind of glio I have." In an interview with Ramona Shelburne, Jason said he experienced profound physical changes before and after the diagnosis.
"I'm now down to 240 lb, and before this, I was like 260. That was really crazy to lose that amount of weight," he said, adding that he also began experiencing memory lapses and episodes of sitting in a room and not realizing how long he had been sitting there.

Jason Collins in an interview, from a video post dated December 11, 2025. | Source: YouTube/ESPN
His husband, Brunson Green, a film producer known for "The Help" and "A United Kingdom," said Jason began behaving uncharacteristically:
"He seemed to always want to liberate himself from his clothes… 'Well, I feel like my shirt's uncomfortable, but I don't know why it's uncomfortable, so if I take it off, I don't have to think about it anymore.'"

Jason Collins's husband, Brunson Green talks about his husband's health before the diagnosis, from a video post dated December 11, 2025. | Source: YouTube/ESPN
When Brunson rushed him to the ER, doctors quickly identified "a baseball-sized mass in the middle of his skull." Faced with a cancer moving faster than his own body could keep up, Jason and his family turned their focus to the one thing they could control: how to fight it.
The Treatment Plan
Jason said his family urgently worked to get him discharged so he could begin Avastin, which he was told was his best chance to regain clarity. He began radiation shortly afterward. Within days, he started improving, from being wheeled into treatment to walking by the third session.

Jason Collins tells his story, from a video post dated December 11, 2025. | Source: YouTube/ESPN
He now receives care at a clinic in Singapore offering targeted chemotherapy using EDVs, which he described as a Trojan horse delivering medication through the blood-brain barrier straight into his tumors. The long-term goal is to keep the cancer stable long enough to create a custom immunotherapy.

Jason Collins arrives in Singapore, from a video post dated December 11, 2025. | Source: YouTube/ESPN
Because his tumor is unresectable, Jason said the standard treatment, temozolomide (TMZ) chemotherapy, for his type of cancer offers an average prognosis of only 11 to 14 months, writing, "Because my tumor is unresectable, going solely with the 'standard of care' -- radiation and TMZ -- the average prognosis is only 11 to 14 months."
He added that if this path doesn't save him, he hopes it will help someone else. Even as doctors worked to slow the cancer's advance, the support surrounding Jason proved just as defining in how he moved forward.

Jason Collins begins his treatment, from a video post dated December 11, 2025. | Source: YouTube/ESPN
Marriage and Family Support
Jason married the love of his life, Brunson, in May at a ceremony in Austin, an event celebrated by close friends, including Octavia Spencer and their tight-knit circle. "In May, I married the love of my life," he wrote in his statement.
Brunson has since become a central part of the medical planning process, working alongside Jason's family, including his twin brother Jarron Collins, whom Jason says delivered a now-pivotal message, "You have to fight. No matter what, you have to fight."
In the interview with Ramona, Brunson added, "He's the rock of his entire family. And now… everyone's showing up for Jason."
Jason echoed that emotion, "I'm unafraid to break through a wall or try to do everything possible. I think because I'm such so surrounded by love and I know that my family is so strong and they will be okay."
His December 1 Instagram post, taken during a getaway with Brunson, emphasized his resilience, "Even when fighting brain cancer, you have to recharge… Very relaxing birthday weekend for @brunsong & me."
A Fighter on and off the Court
Jason framed his mindset through the lens of his athletic career. "As an athlete you learn not to panic… Shut up and go play against Shaq." He recalled his coming-out journey, linking the two challenges, "Your life is so much better when you just show up as your true self."
His historic 2013 Sports Illustrated essay declared, "I'M A 34-YEAR-OLD NBA CENTER. I'M BLACK. AND I'M GAY."
Jason retired from the NBA in 2014 after a 13-year career across seven teams, later writing that it felt wonderful to be part of a turning point in sports history.
Moving Forward
Despite the physical and emotional toll, Jason emphasized determination. He described an incident shortly before his hospitalization when he fell and could not get up, a moment he refused to let define him.
He remains firm in his resolve, "We aren't going to sit back and let this cancer kill me without giving it a hell of a fight."
His story, from barrier-breaking player to cancer patient forging a new path, continues to unfold, grounded in the same conviction that shaped his career: courage, honesty, and an unrelenting will to push forward.
The information in this article is not intended or implied to be a substitute for professional medical advice, diagnosis or treatment. All content, including text, and images contained on news.AmoMama.com, or available through news.AmoMama.com is for general information purposes only. news.AmoMama.com does not take responsibility for any action taken as a result of reading this article. Before undertaking any course of treatment please consult with your healthcare provider.